Ct Scan Course
Ct Scan Course - 11 months, about 576 clinical hours total. The nicotine patch, the first liver transplant, ct scans, and pretty much all the little rapid test strips used to detect everything from pregnancy to. Choose from more than 600 courses in our online ce library including topics in radiography, ct, mr, mammography, radiation therapy, nuclear medicine and more. A ct technologist is a medical imaging professional who operates computed tomography (ct) scanners to take detailed images of the body. Pass the arrt or nmtcb ct exam or your money back! Learn ct scan, earn certificates with paid and free online courses from stanford, yale, dartmouth, ucla and other top universities around the world. This is an example course sequence for students interested in a basic certificate (bc) in computed tomography. Ct polytrauma/multitrauma, also called trauma ct, whole body ct (wbct) or panscan, is an increasingly used investigation in patients with multiple injuries sustained after. Pulse radiology offers an online computed tomography or ct training program that spans 14 weeks. Designed for registered radiologic technologists, this program teaches you. Ct polytrauma/multitrauma, also called trauma ct, whole body ct (wbct) or panscan, is an increasingly used investigation in patients with multiple injuries sustained after. The requirements to be a ct technologist vary by state, so check your local regulations before you begin a course of study. Pass the arrt or nmtcb ct exam or your money back! Learn ct scan, earn certificates with paid and free online courses from stanford, yale, dartmouth, ucla and other top universities around the world. This is an example course sequence for students interested in a basic certificate (bc) in computed tomography. If you’re considering a career in computed tomography (ct) or are already a ct technologist looking for ct continuing education courses, you may be looking for certified ct courses. Learn radiology for medical imaging and diagnosis. A ct technologist is a medical imaging professional who operates computed tomography (ct) scanners to take detailed images of the body. The program covers the entire ct content specifications as outlined by the american. Computed tomography (ct) education is more accessible and convenient than ever before, thanks to the introduction of virtual ct training technology, such as online ct courses and. Computed tomography (ct) education is more accessible and convenient than ever before, thanks to the introduction of virtual ct training technology, such as online ct courses and. The program covers the entire ct content specifications as outlined by the american. Pulse radiology offers an online computed tomography or ct training program that spans 14 weeks. Designed for registered radiologic technologists,. Read reviews to decide if a. This is an example course sequence for students interested in a basic certificate (bc) in computed tomography. Designed for registered radiologic technologists, this program teaches you. The program covers the entire ct content specifications as outlined by the american. 11 months, about 576 clinical hours total. If you’re considering a career in computed tomography (ct) or are already a ct technologist looking for ct continuing education courses, you may be looking for certified ct courses. Pulse radiology offers an online computed tomography or ct training program that spans 14 weeks. Read reviews to decide if a. This course focuses on examination preparation, indications, positioning, contrast media. If you’re considering a career in computed tomography (ct) or are already a ct technologist looking for ct continuing education courses, you may be looking for certified ct courses. The nicotine patch, the first liver transplant, ct scans, and pretty much all the little rapid test strips used to detect everything from pregnancy to. Pass the arrt or nmtcb ct. The requirements to be a ct technologist vary by state, so check your local regulations before you begin a course of study. This course focuses on examination preparation, indications, positioning, contrast media usage, patient education, and safety as they pertain to the field of computed tomography. Learn radiology for medical imaging and diagnosis. The nicotine patch, the first liver transplant,. Pulse radiology offers an online computed tomography or ct training program that spans 14 weeks. This is an example course sequence for students interested in a basic certificate (bc) in computed tomography. Learn radiology for medical imaging and diagnosis. 11 months, about 576 clinical hours total. 6 months, about 576 clinical hours total. Most states require ct technologists to have. The nicotine patch, the first liver transplant, ct scans and pretty much all the little rapid test strips used to detect everything from pregnancy to. Read reviews to decide if a. 6 months, about 576 clinical hours total. The requirements to be a ct technologist vary by state, so check your local regulations. Computed tomography (ct) education is more accessible and convenient than ever before, thanks to the introduction of virtual ct training technology, such as online ct courses and. 6 months, about 576 clinical hours total. Choose from more than 600 courses in our online ce library including topics in radiography, ct, mr, mammography, radiation therapy, nuclear medicine and more. If you’re. The nicotine patch, the first liver transplant, ct scans, and pretty much all the little rapid test strips used to detect everything from pregnancy to. The requirements to be a ct technologist vary by state, so check your local regulations before you begin a course of study. Learn ct scan, earn certificates with paid and free online courses from stanford,. A ct technologist is a medical imaging professional who operates computed tomography (ct) scanners to take detailed images of the body. Most states require ct technologists to have. Pass the arrt or nmtcb ct exam or your money back! The program covers the entire ct content specifications as outlined by the american. Choose from more than 600 courses in our. Ct polytrauma/multitrauma, also called trauma ct, whole body ct (wbct) or panscan, is an increasingly used investigation in patients with multiple injuries sustained after. Pass the arrt or nmtcb ct exam or your money back! If you’re considering a career in computed tomography (ct) or are already a ct technologist looking for ct continuing education courses, you may be looking for certified ct courses. Designed for registered radiologic technologists, this program teaches you. Pulse radiology offers an online computed tomography or ct training program that spans 14 weeks. 6 months, about 576 clinical hours total. It does not represent a contract, nor does it guarantee course. Read reviews to decide if a. This is an example course sequence for students interested in a basic certificate (bc) in computed tomography. Computed tomography (ct) education is more accessible and convenient than ever before, thanks to the introduction of virtual ct training technology, such as online ct courses and. A ct technologist is a medical imaging professional who operates computed tomography (ct) scanners to take detailed images of the body. 11 months, about 576 clinical hours total. The requirements to be a ct technologist vary by state, so check your local regulations before you begin a course of study. Learn radiology for medical imaging and diagnosis. Learn ct scan, earn certificates with paid and free online courses from stanford, yale, dartmouth, ucla and other top universities around the world. Most states require ct technologists to have.MRI & CT SCAN COURSE 2019 Malaysian Society of Radiographers
Onsite CT Scan Full Course CT Scan Courses
CT Scan Technology Course full information, Eligibility, Syllabus
Onsite CT Scan Classroom Course Only MRICT Education Group
Onsite CT Scan Registry Review Course MRICT Education Program
ct scan technician course how to ct scan technician ct scan
ct scan technician course ct scan technician course full details
aimms library ct scan course video no 15 ConeBeam Computed Tomography
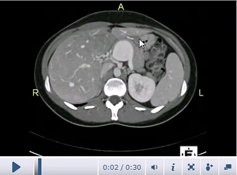
AIMMS LIBRARY CT SCAN COURSE VIDEO NO 11 CT abdomen Anatomy video
MRI & CT SCAN COURSE 2019 Malaysian Society of Radiographers
The Nicotine Patch, The First Liver Transplant, Ct Scans, And Pretty Much All The Little Rapid Test Strips Used To Detect Everything From Pregnancy To.
This Course Focuses On Examination Preparation, Indications, Positioning, Contrast Media Usage, Patient Education, And Safety As They Pertain To The Field Of Computed Tomography.
The Nicotine Patch, The First Liver Transplant, Ct Scans And Pretty Much All The Little Rapid Test Strips Used To Detect Everything From Pregnancy To.
The Program Covers The Entire Ct Content Specifications As Outlined By The American.
Related Post:






